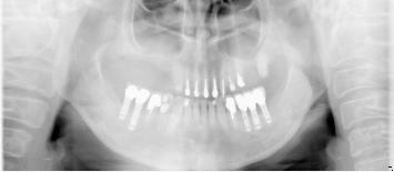
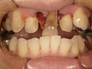
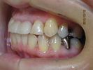
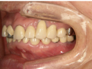
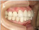
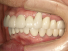
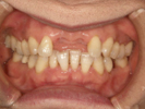
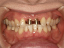
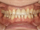
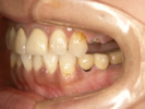
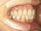
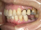
治療実績
50代女性
歯がこのままではダメだと思い、一念発起された50代女性の方です。
もちろん治療期間が長期にかかることも、治療費が高額になることも、外科的な手術が何度か必要であることなど、
インプラント治療と咬み合わせ治療のほぼ全てを大名歯科ホームページで予め知っていただいた上で決心され来院されたそうです。
インプラント治療は顎骨が乏しかったため、増骨手術も併用しなければならない難症例でした。
治療期間中は残存歯数が少ない上に、丈夫でないため生活に不自由な点がでました。
さらに咬み合わせが安定しにくい症例のため、プラスチック仮歯がよく壊れたり、外れたりして、修理に来院していただくなど大変な苦労とご迷惑をおかけしました。
審美性(見た目)は十分回復できたと思っており、患者さんも大変満足されています。
食事は当然のことかもしれませんが、よく咬めるようになったそうです。
咬み合わせ治療は非常に難しいため、これで十分かどうか分かりませんが現在もこのまま定期的なメインテナンス中です。

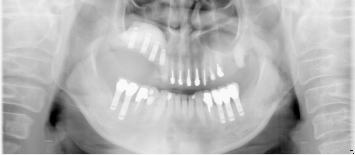
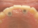
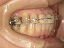
47歳女性
ブリッジや義歯でも可能な症例ですが、残っている歯を守りたいという患者さんの希望によりインプラント施術。
なお、この患者さんは歯医者の方で、専門知識の高い歯科医師の方にも喜んでもらえて大変光栄でした

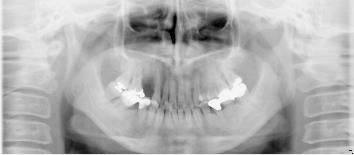
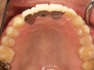
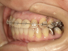
54歳女性
部分義歯がどうしても違和感が強くて、できれば義歯を使わなくてもいいようにしたいとのこと。
下顎はそんなに問題ないですが、上顎は骨の厚みと量、共に乏しく本来はインプラントは不可能です。
あきらめずに、かなり高度な技術ですが骨を増やす手術を併用してなんとか植えることができました。

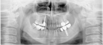
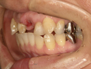
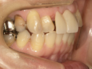
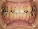
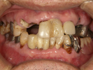
60歳男性
![]() |
![]() |
![]() |
|
治療前 |
||
![]() |
||
抜歯後 |
||
![]() |
![]() |
|
インプラント埋入後、仮歯の状態 |
||
![]() |
|
![]() |
|
治療後 |
||
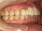
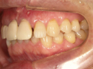
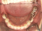
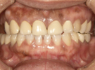
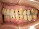
50代女性
![]() |
![]() |
治療前 |
|
![]() |
![]() |
治療後 部分入れ歯の金具がかかる歯に負担をかけず、 長持ちさせたいと右下にインプラント埋入。 |
|
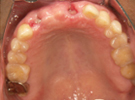
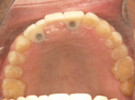
50代女性
![]() |
![]() |
![]() |
治療前 |
||
![]() |
![]() |
![]() |
治療中。仮歯。 左上の奥にインプラント埋入。 噛みあわせ治療を行いました |
||
![]() |
![]() |
![]() |
治療後 全体の歯で食事がおいしくできるようになったと喜んでおられました。 |
||
60代男性
治療前 |
治療後 |
![]() |
![]() |
歯の根が割れて保存不可能だったため抜歯し、 |
|
30代男性
治療前 |
治療後 |
![]() |
![]() |
60代男性
右上に入れ歯を作ったが噛めず右で食事できないため来院。
2本インプラントをしました。
手前の銀色のかぶせも白いかぶせにかえました。
食事しやすくなったと喜ばれました。
治療前 |
治療後 |
![]() |
![]() |
60代男性
右上に入れ歯を作ったが噛めず右で食事できないため来院。
2本インプラントをしました。
手前の銀色のかぶせも白いかぶせにかえました。
食事しやすくなったと喜ばれました。
![]() |
![]() |
| 治療前 | 治療後 |
30代女性
事故のため、前歯を2本失いました。
インプラントと矯正治療をしました。
![]() |
![]() |
![]() |
| 治療前 | ||
![]() |
![]() |
![]() |
| インプラント後、仮歯を入れました。 | ||
![]() |
![]() |
![]() |
| 矯正設置を着用し、歯列矯正を行いました。 | ||
![]() |
![]() |
![]() |
| 治療後 | ||
70代男性
インプラントを7本埋入し、治療しました。
痛みがなくなり食事が快適にできるようになり、大変喜ばれました。
![]() |
![]() |
![]() |
| 治療前 | ||
![]() |
![]() |
![]() |
| 治療後 | ||
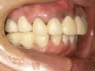
30代男性
治療前 |
治療後 |
![]() |
![]() |
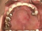
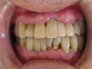
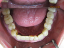
60代男性
|
||||||
70代女性
前歯のかぶせが壊れて右上の義歯を使われておらず、かみ合わせの歯が移動してスペースがなくなっていた。
そのため歯を作ることが困難でした。
右上にインプラントを埋入し、全体の、かみ合わせの治療を行いバランスをとりました。
![]() |
![]() |
![]() |
| 治療前 | ||
![]() |
![]() |
![]() |
| 治療後 | ||
50代女性
前歯に義歯をしているが、話しづらく、インプラントを検討され来院されました。
前歯にインプラントを埋入。
食事もしやすくなり、話しやすくなったと喜んでいただけました。
![]() |
|
| 治療前 | |
![]() |
![]() |
| 治療後 | |
40代女性
奥歯が欠落して、全く噛めないと大変お困りの状態でした。
治療に1年半程要しましたが、熱心に通院してくださいました。
魚介類・お肉なんでも噛めるようになり、今ではニコッと笑える日々で楽しいですと、
アンケートにも答えてくださいました。
![]() |
![]() |
![]() |
| 治療前 | ||
![]() |
![]() |
![]() |
| 治療後 | ||
60代男性
左下の奥歯が、C4(歯の根の部分だけ残った状態)で、インプラントを
検討され他の歯科医院からのご紹介で来院されました。
その歯は、歯の根の部分まで割れていて、残すことができない状態でした。
抜歯後、インプラントをしました。
現在では、定期的にメンテナンスに来院され、良好な状態で満足いただいています。
![]() |
![]() |
| 治療前 | 治療後 |
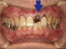
54歳女性
部分義歯がどうしても違和感が強くて、できれば義歯を使わなくてもいいようにしたいとのこと。
下顎はそんなに問題ないですが、上顎は骨の厚みと量、共に乏しく本来はインプラントは不可能です。
あきらめずに、かなり高度な技術ですが骨を増やす手術を併用してなんとか植えることができました。

術前
↓↓↓↓

術後
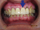
47歳女性
ブリッジや義歯でも可能な症例ですが、残っている歯を守りたいという患者さんの希望によりインプラント施術。
なお、この患者さんは歯医者の方で、専門知識の高い歯科医師の方にも喜んでもらえて大変光栄でした

術前
↓↓↓↓

術後
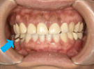
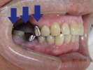
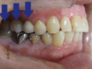
30代男性
![]() |
||
右下にブリッジが入っている。 |
||
![]() |
||
インプラント2本埋入。 |













































































